Oclusão e Attachments: O esquema subjacente para sobredentaduras bem-sucedidas

Imagem da notícia: Oclusão e Attachments: O esquema subjacente para sobredentaduras bem-sucedidas

Artigo da autoria de Dennis Urban, CDT.

No mundo em constante mudança da tecnologia dentária, o único segmento que parece ser um pilar na consistência do crescimento é o das próteses removíveis. Quer se trate de próteses totais, parciais, próteses sobre implantes ou sobredentaduras com attachments, o potencial de crescimento contínuo dos laboratórios nestas áreas é substancial. Embora a oportunidade de crescimento seja um fator importante, o fator de sucesso para os casos removíveis incluídos nas áreas mencionadas inclui muitas variáveis.

Hoje, enfrentamos a necessidade de criar uma prótese que supere em muito a estética e a função das próteses feitas há 20 anos. Os utilizadores de próteses querem ter uma aparência estética natural na cavidade oral, em oposição à aparência medíocre das próteses dentárias e acrílicas antigas, ou como eu ouvi chamar de “The Pink Smoothie”.

A boa notícia é que agora o paciente pode obter o que deseja em termos de função e estética de alta qualidade. Todas as próteses dentárias cosméticas de alta qualidade bem sucedidas começam com uma boa comunicação entre o dentista e o paciente, combinada com conhecimento, experiência técnica e materiais de qualidade. Mas tudo o que foi mencionado acima não pode ser alcançado sem o esquema oclusal adequado e o sistema de attachment correto.

Além disso, os pontos a seguir são essenciais para um caso bem-sucedido:

– Planeamento do caso;
– Impressões precisas;
– Contornos corretos e registos de mordida precisos;
– Um articulador semi-ajustável ou totalmente ajustável para imitar a função da mandíbula;
– Processamento preciso da prótese.

Vamos começar com o planeamento do caso. Tenha em mente que o objetivo mais importante aqui é a satisfação do paciente. Sem a satisfação do paciente, o dentista perde negócios; por sua vez, o laboratório dentário perde negócios e o paciente sofre com uma restauração inadequada. É por isso que é tão importante ter uma comunicação de qualidade entre o dentista, o paciente e o técnico de prótese dentária. Quando se trata do planeamento de casos de implantes, a situação ideal é ter o cirurgião oral e, se possível, o periodontologista envolvidos no ciclo de comunicação.

Infelizmente, muitas Faculdades de Medicina Dentária ainda não oferecem formação aprofundada sobre sobredentaduras implanto suportadas. Muitos dentistas ainda dependem de cursos condensados apresentados por empresas de implantes. É por isso que o conhecimento, a ciência dos materiais e a experiência do técnico de prótese dentária são tão importantes.

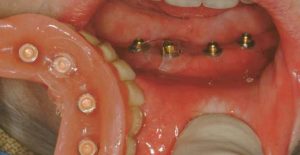
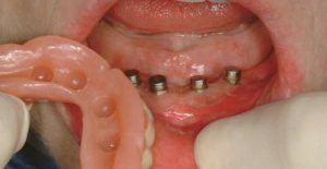
Alguns dos fatores para prescrever uma sobredentadura sobre implantes para um paciente são suporte ósseo inadequado, perda da crista alveolar e instabilidade com ajuste e função numa base de prótese suportada por tecido. Após a realização de uma radiografia e a avaliação da quantidade óssea ser determinada, então o tratamento do paciente está pronto para começar. Vamos utilizar um sistema de attachment que nos permita opções de tamanho, escolha de retenção e qualidade. Uma excelente escolha de attachment é o Rhein 83. A Rhein 83 oferece um sistema completo de componentes pré-fabricados para planeamento e fabrico de um caso bem-sucedido e personalizado. O novo OT Equator oferece um perfil baixo e é compatível com todas as marcas de implantes. Além disso, o Equator oferece componentes calcináveis opcionais para o sistema indireto. (Figs. 1-8)

 

 

Leia o artigo completo na LabPro 61.

13 Abril 2026
Artigos Técnicos

Notícias relacionadas

Investigadores testam novos materiais de impressão 3D

Um grupo de investigadores italianos pesquisou recentemente as propriedades mecânicas dinâmicas e a biocompatibilidade in vitro de 11 novos materiais dentários de impressão 3D projetados para o fabrico de coroas, pontes temporárias e bases de próteses para avaliar a sua adequação para uso clínico.

Ler mais 28 Junho 2024
Artigos Técnicos